首页
医院概况
治疗范围
特色疗法
医院动态
科室导航
专家团队
学术专区
医院图库
来院路线
科室导航
医学影像科
外科(门诊)
中医康复医学科
中医针灸科
中医内科
美容中医科
美容皮肤科
医疗美容科
中医皮肤科
医美科
皮肤科
康复科
医学检验科
生发科
中西医结合科
治疗范围
激素依赖性皮炎
敏感性肌肤
白癜风
湿疹
痤疮
牛皮癣
荨麻疹
关节病型银屑病
白癜风
白癜风症状
瘙痒
白癜风
痤疮
黄褐斑
过敏性紫癜
点滴型银屑病
血管瘤
红斑狼疮3
红斑狼疮
白癜风
联系我们
滑县秦剑皮肤病研究所
电话:
0372-8170966
0372-8170967
0372-8170968
地址:
河南省滑县产业集聚区白马路中段(体育场西侧)
治疗范围
当前位置:
首页
>
治疗范围
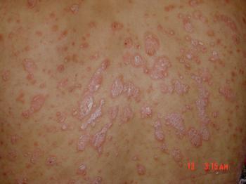
牛皮癣3
时间:2018-03-30
浏览:9225次
分享:
上一篇:
牛皮癣2
下一篇:
红斑狼疮2
豫ICP备2020030152号-1
在线咨询
问题在线留言
联系我们
0372-8170967
扫一扫
扫一扫
返回顶部